
Kopfschmerzen, Gehirntumor und Gesichtsfelduntersuchung
Warum ist die Computergesteuerte Gesichtsfelduntersuchung bei Kopfschmerzen wichtig?
Die Einführung der computergesteuerten Gesichtsfelduntersuchung markiert eine neue Ära der Gesichtsfeldprüfung. Diese Methode bietet viele neue Möglichkeiten der Befunderhebung, Differentialdiagnose und Verlaufskontrolle an. Es können dabei Schäden aufgedeckt werden, wo sie mit der klassischen Methode noch normal erscheinen.
Zahlreiche Erkrankungen, bei denen das Gesichtsfeld stark eingeschränkt ist, lassen sich durch diese Methode darstellen und früh erkennen, zum Beispiel:
- Grüner Star (Glaukom)
- Netzhauterkrankungen
- Sehnerventzündungen wie bei MS (Mulitple Sklerose)
- Gehirntumore
- Durchblutungsstörungen im ZNS-Bereich (Gehirn, Zentrales Nervensystem - z.B. Schlaganfall, etc.)
Früherkennung, Lokalisation und Verlaufskontrolle sind die wichtigsten Ziele dieser Untersuchungsmethode.
Fallbeschreibung Gehirntumor:
Eine 32-jährige Patientin (Frau M.R.) hat meine Praxis zum ersten Mal Anfang Februar 2004 mit folgenden Beschwerden aufgesucht:
- einseitige Kopfschmerzen
- Schwindel
- vorübergehende Sehstörungen
Nach einer genauen Augenuntersuchung wurde eine computergesteuerte Gesichtsfelduntersuchung veranlasst.
Diagnose: komplette rechtsseitige homonyme Hemianopsie (d.h. Gesichtsfeldausfall);
Gesichtsfeldbilder präoperativ (vor der Operation):


Verdachtsdiagnose: Gehirntumor!
Eine MRT -Untersuchung (Computertomographie) des Schädels wurde sofort organisiert.
Befund: linksseitiger, occipitaler, ca. 45 x 60 mm großer Tumor
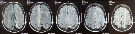
MRT-Bilder präoperativ (vor der Operation):


Es folgte eine sofortige Einweisung der Patientin in das Spital, Abteilung für Neurochirurgie, mit o.g. Befund. Die Patientin wurde sofort aufgenommen, 4 Tage präoperativ wurde eine Embolisation der Äste der Arteria meningea media durchgeführt.
Danach folgte die Operation folgendermaßen:
- osteoplastische Trepanation links occipital
- mikrochirurgische Tumorexstirpation
Diagnose: Falxmeningeom links parieto-occipital
Die routinemäßige Kontrolluntersuchnug mittels Computertomographie, 3 Tage postoperativ, zeigte ideale Verhältnisse (ca. 45mm großer Operationsdefekt links occipital mit einzelnen Lufteinschüssen);
MRT-Bilder postoperativ (nach der Operation)

Rund zweieinhalb Monate postoperativ wurde die Gesichtsfelduntersuchung wiederholt. Es zeigte eine hochgradige Verbesserung des Gesichtsfeldes (inkomplette rechtsseitige homonyme Hemianopsie im rechten unteren Quadranten)
Gesichtsfeldbilder postoperativ (nach der Operation):


Zum Zeitpunkt besteht ein sehr guter Allgemeinzustand!
Weitere Untersuchungen in unserer Augenarztpraxis folgen in 3-, dann in 6-monatigen Abständen.